服务热线:0086-516-83556123 手机:18994906810
您当前的位置:首页 Ultrasound equipment Wireless Ultrasound
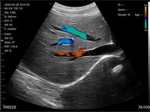
C6 wireless Doppler ultrasound system
  • 【 Wireless Ultrasound 】 C6 wireless Doppler ultrasound system 适用对象:[ Cats, dogs, cows, horses, mice, exotic pets ]

  • Digital imaging technology, clear images, high cost performance

    Wireless connection, easy to operate and portable, easy to carry


产品介绍